当院について

設備紹介

Equipment introduction

診断装置と治療機器紹介

Inspection equipment

迅速かつ正確な検査結果で
患者様の期待に応えます

超音波(エコー)検査

エコーガイド下ハイドロリリース

各種エコーガイド下神経ブロック注射

超音波画像診断装置のデジタル化や高周波化による質の向上により心臓、腹部などの内科疾患のみでなく、整形外科領域でも診断に欠かせないツールとなっています。
主にX線画像ではわからない軟部組織(軟骨、靱帯、腱、筋肉、神経、血管)などや骨表面の微細な変化をリアルタイム画像で確認できます。
X-P 、CTに比べ被曝の心配がなく妊娠中の胎児にも使えるほど安全な検査ツールとなっており、さらにレントゲンと併用することで診断率が圧倒的に高まります。またMRI vs エコーの空間分解能はMRI 0.3~0.6mmに対しエコーは0.2mmと言われており細部に関してはMRIをも凌駕するほどです。
エコー検査をすることでどの組織がどの程度損傷しているのか?断裂の種類や範囲を正確に診断できスポーツにおいては復帰の具体的期間を診断可能です。

診断だけでなく神経、血管があるような危険な部位の局所的な注入、穿刺(針で体液または組織の採取)もエコーガイド下で行うことにより安全で確実、また痛みを最小限に抑えることができます。
現在、Canonnメディカル社製Aplio4台、Xalio1台、Viamo1台、計6台取り揃えており各種エコーガイド下神経ブロック注射(仙骨硬膜外ブロック、神経根ブロック、星状神経節ブロックなど)や、エコーガイド下ハイドロリリースなどブロック注射全般で良好な成績を上げており診断から治療まで幅広く活躍しております。

その他心臓疾患、腹部臓器、表在疾患なども検査を行っております。

画面右は太腿内転筋内部に血腫(血の塊)が形成されている
画面左は腱板断裂画像
画面右は神経が圧迫し扁平化している画像
バスケット選手が多い捻挫だが、右はエコー上表面がたわみ断裂まではないが、緩んでいる様子。
右はレントゲンには映らずエコー上で肋骨にずれが生じ骨折している画像

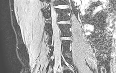
MRI

MRIとは磁気共鳴画像撮影法のことで正式には「Magnetic(磁気) Resonance(共鳴) Imaging(画像)」といいます。
1.5テスラMRI装置Vantage Elan(キャノンメディカルシステムズ製)を導入しておりレントゲン検査では評価しづらい骨の内部や軟部領域の精査が可能で、脊椎・四肢など整形外科領域の幅広い部位の検査を行っています。撮影部位にもよりますが検査には約20~40分ほど時間がかかります。低侵襲で安全な検査ですが強い磁気を使うので金属類は外して検査を行います。通常予約待ちの多いMRI検査ですが当院では医師の指示のもと初診時の当日検査も可能でスムーズかつ的確な診断、検査待ちの解消にも努めています。

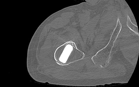
CT

16列マルチスライスCT装置 Aquilion Lightning(キャノンメディカルシステムズ製)を導入しており骨折の診断、手術前計画目的の撮影、骨癒合経過観察目的で検査を行っています。CTでは撮影した元データより様々な断面の画像を再構成(MPR画像)でき、骨の外観のような三次元的な画像(VR画像)も作成でき、レントゲンでは評価しづらい細かい骨折の診断などにも優れています。撮影時間は数分で終わります。

骨密度検査

東洋メディック製Explorerを導入しており、骨粗鬆症診断のガイドラインに沿ったDXA法といった最も精度の高い解析方法(手首での計測方法はやや精度が劣ります)にて腰椎と大腿骨頚部の2ヶ所測定を行い、骨粗鬆症治療エキスパートであるリエゾンマネージャーとも連携をとり計画的な検査が可能です。検査時間は10分ほどで完了します。

X線装置

クリニックにX線撮影装置2台、透視装置1台、病院にX線撮影装置及び透視装置1台、ポータブル撮影装置1台備えておりX線撮影業務にあたっています。FPD(フジフィルムメディカル製)という画像処理システムを導入しており素早くて効率的かつX線被曝の少ない検査に努めています。

その他検査機器紹介

総合病院レベルの検査機器を保有しており、整形外科分野の診断力は全国トップレベルにあります。手術も行っておりますので、上記検査機器の他に内科に必要な検査機器である、心電図、動脈硬化検査、血液検査(一部検査センターに委託)、肺機能検査、尿検査を行っています。

リハビリ治療・測定機器

Rehabilitation

体外衝撃波治療機器(集束型SHOCK WAVE)

体外衝撃波とは?

衝撃波治療は従来、泌尿器科領域の尿路結石で実用化されていますが、結石破砕の10%程度のエネルギーで、整形外科疾患に応用された整形外科分野では新しい治療法です。
主に足底腱膜炎や腱付着部炎など、6ヶ月以上も症状が改善しない難治性の痛みに効果を発揮します。

対象となる疾患

日本国内では、難治性の足底腱膜炎(足底の痛み)に有効な治療として、保険が適用されています。

足部 足底腱膜炎・アキレス腱炎・アキレス腱付着部炎
膝蓋腱炎
石灰沈着性腱板炎・腱板炎
上腕骨外側上顆炎・内側上顆炎
骨折 疲労骨折・偽関節
その他 早期の離断性骨軟骨炎・早期の骨壊死

治療の特徴

・1回の治療時間は約10~15分です。
一定期間をおき、複数回の照射を行います。
・治療中は、ある程度の痛みを感じますが自制内の範囲に設定します。

詳細はこちら

超音波治療器(ULTRASOUND)

逆圧電効果により発生する音波により1秒間に100万回(1MHz)または300万回(3MHz)の高速度ミクロマッサージで、深部または浅部に直接刺激を与えます。また照射される際に生じる熱で、超音波が到達しいている範囲を立体的に温めます。

電気刺激治療器(Hi-Voltage)

150Vを超える高電圧を用い、深部への刺激に適し、疼痛の軽減や血流の促進、可動域の改善などに効果的です。

治療時間 5~10分
※当院で使用している機器は上記2つを同時に行えるコンビネーション刺激装置です。

オステオトロンⅤ(超音波骨折治療器)

LIPUS(Low Intensity Pulsed Ultra Sound:低出力パルス超音波)の音圧効果により、骨折部位の骨の形成を促進し、骨癒合期間を約40%短縮できます。複数部位の同時治療や患部を挟み込んでも治療も可能なため、多重骨折や難治性骨折などへも効果的な治療が行えます。

治療時間 20分

AT-mini(ポータブル低周波治療器)

マイクカレント(もともと人体に存在する電流に似た微弱な電流)を体内に流すことで、傷ついた組織の修復を早め、損傷部の治癒を促通します。低刺激の弱い電流なので神経や筋を興奮させず、受傷早期にも有効です。ポータブル機器になるので、当院では外来での機器貸し出しも行っております。

治療時間 12時間(※低刺激装置のため基本的には持続的に使用する機器です)

Power plate(パワープレート)

パワープレートが生み出す微細で規則的かつ、高速振動により無意識な身体の連鎖反応を引き起こすことで、神経系・固有受容筋・筋骨格系・循環系が刺激され、短時間で、効果的なエクササイズを行うことができます。当院では老若男女のニーズに応じてトレーニング・ストレッチ・マッサージと各用途に応じて使用しております。

治療時間 1セット:30~60秒

プール(水治療法)

当院では痛みにより下肢に体重をかけられない方や手を挙げられない方に対し、水の浮力を利用してのリハビリを行っております。水量調整にて最大体重の30%程度まで、荷重量を軽減させることが可能となります。

治療時間 30~40分

BIODEX(多用途筋機能評価運動装置)

トルク・関節角度・速度などの情報をリアルタイム表示し、時間軸による波形データ解析ができます。当院では主にスポーツ疾患の患者様に対し、競技復帰時の再受傷リスクを軽減すべく、測定数値に応じて練習・競技への復帰を進めております。プロスポーツ選手も多く使用している測定機器です。